TANDEN BLEKEN CURACAO
| HOMEPAGE | Myobrace | Orthondontie | |
| Wortelkanaal Behandeling | Tanden Bleken | Tanden Poetsen | |
| Algemene Tandheelkunde | 
 | Whitening | 
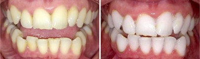
TANDEN BLEKEN

Mooie witte tanden en een stralende lach, dat wil iedereen. Helaas heeft niet iedereen van nature zulke witte tanden. Met een bleekbehandeling kunnen tanden witter worden gemaakt. Er zijn verschillende methoden om jouw tanden witter te maken. Een bleekbehandeling kan in de tandartsenpraktijk plaatsvinden, maar je kunt jouw tanden ook zelf thuis bleken.
Niet alle tanden hebben dezelfde kleur
De kleur van tanden en kiezen is bij iedereen verschillend. De een heeft wittere tanden dan de ander. Sommigen hebben gele, anderen zelfs bruine of grijzere tanden. Tanden en kiezen hebben sowieso niet allemaal dezelfde kleur. Soms wijkt de kleur van een enkele tand of kies sterk af van de rest.
Tandbeen en glazuur bepalen hoe wit uw tanden zijn
Tanden en kiezen zijn opgebouwd uit tandbeen en glazuur. De kleur en de dikte van het tandbeen zijn vooral bepalend voor de kleur van de tand of kies. De oorspronkelijke kleur van het tandbeen is erfelijk bepaald. Het glazuur van tanden en kiezen is nagenoeg doorzichtig. De hoektanden hebben een dikkere laag tandbeen dan de overige tanden. Daarom zijn ze vaak geler.
Verkleuring van het gebit
Door het drinken van koffie, thee, rode wijn en andere voedingsmiddelen kunnen kleurstoffen de tand binnendringen. De tanden gaan er dan donkerder uitzien. Ook roken veroorzaakt verkleuringen. Bovendien kunnen jouw tanden steeds donkerder worden naarmate je ouder wordt.
Methoden tanden bleken
Er zijn verschillende bleekmethoden. Dode tanden worden doorgaans door de tandarts van binnenuit gebleekt. Levende tanden worden van buitenaf gebleekt met waterstofperoxide. Het van buitenaf bleken kan in de tandartspraktijk plaatsvinden.
Tanden bleken? Doe het veilig!
Overweeg je een bleekbehandeling? Kies dan voor een veilige en verantwoorde manier. Onveilig tanden bleken kan jouw gebit en mond beschadigen. Laat jouw tandarts of -mondhygiënist eerst beoordelen of bleken voor jou zinvol is en welke methode het meest geschikt is.
Stralende lach voor bestaande en nieuwe cliënten
Ook jij kunt een lach voor het leven krijgen!
Bel Dental Clinic Curacao voor meer info: +5999 - 7242324 | 005999 - 7242324
Nieuwe patiënten zijn van harte welkom bij Dental Clinic Curacao. Tel: + 005999 - 7242324
| HOMEPAGE | Myobrace | Orthondontie | |
| Wortelkanaal Behandeling | Tanden Bleken | Tanden Poetsen | |
| Algemene Tandheelkunde | 
 | Whitening | 






.jpg)